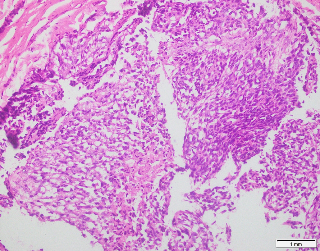
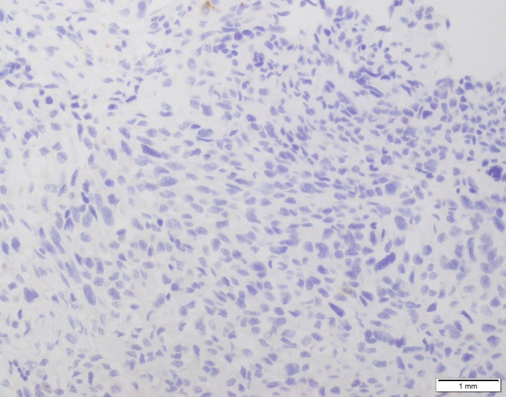
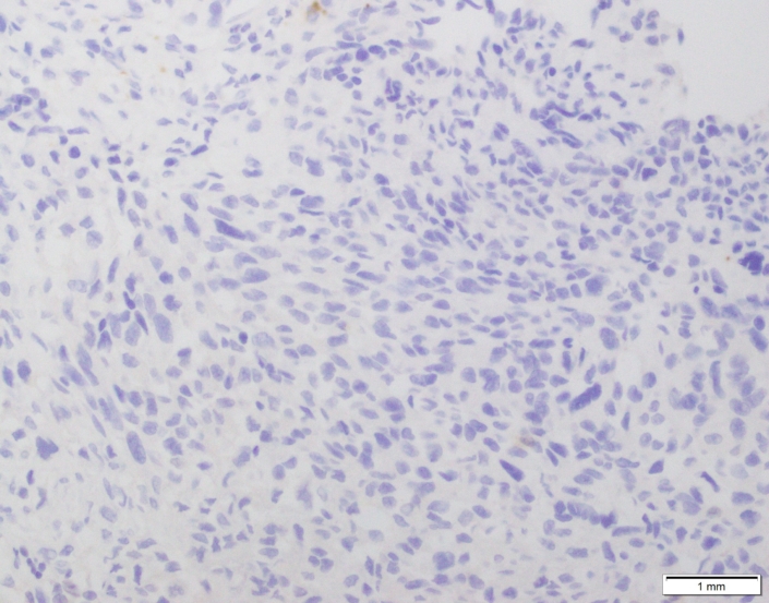
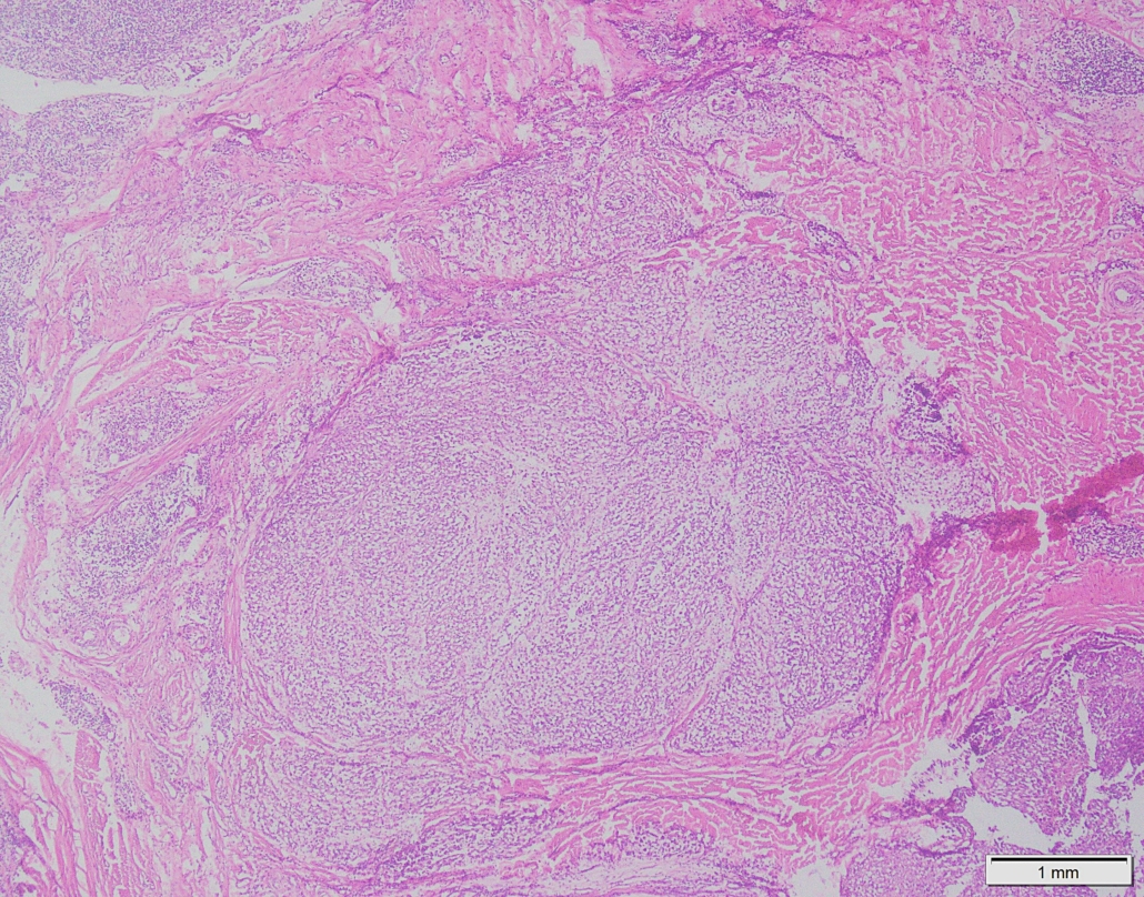
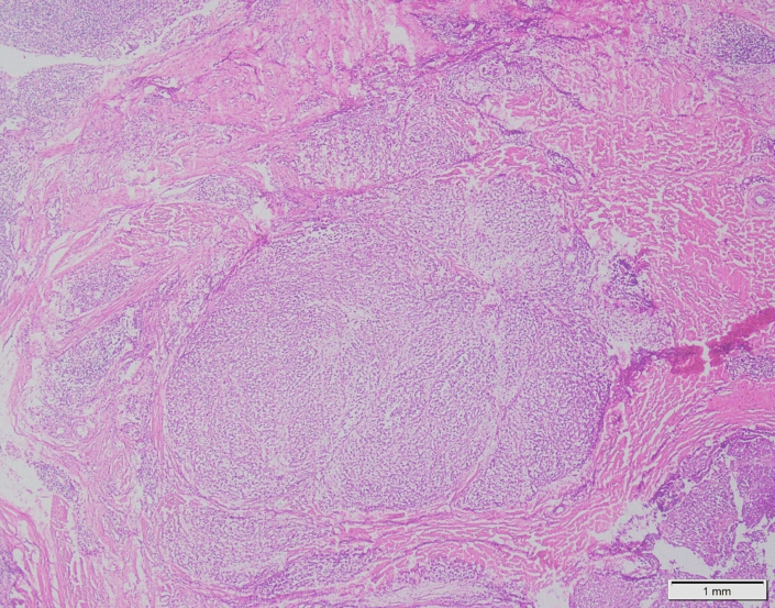
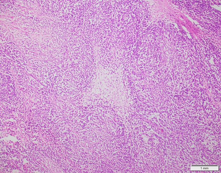
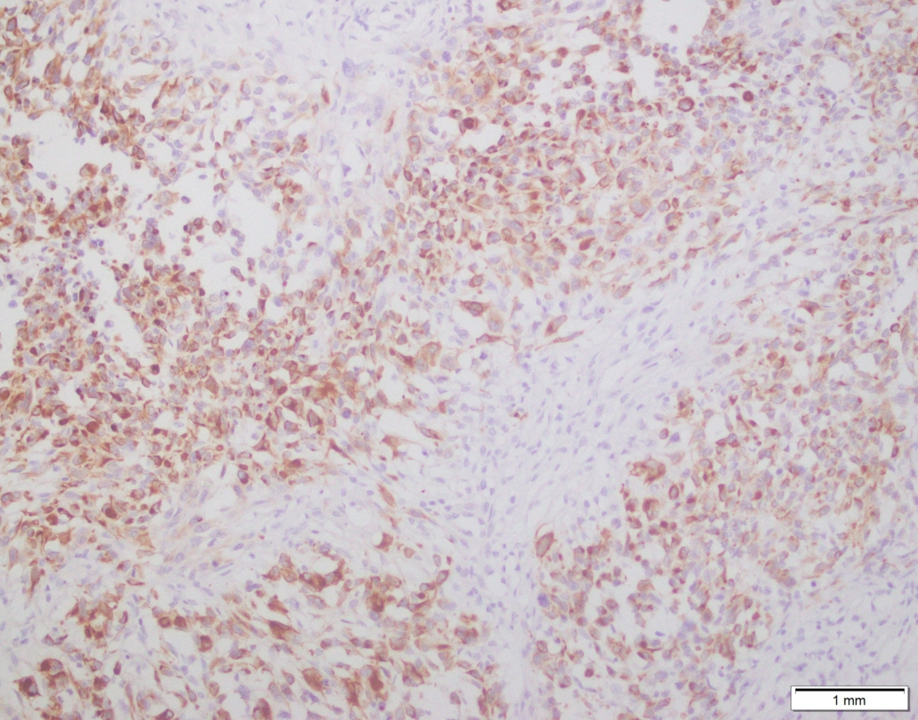
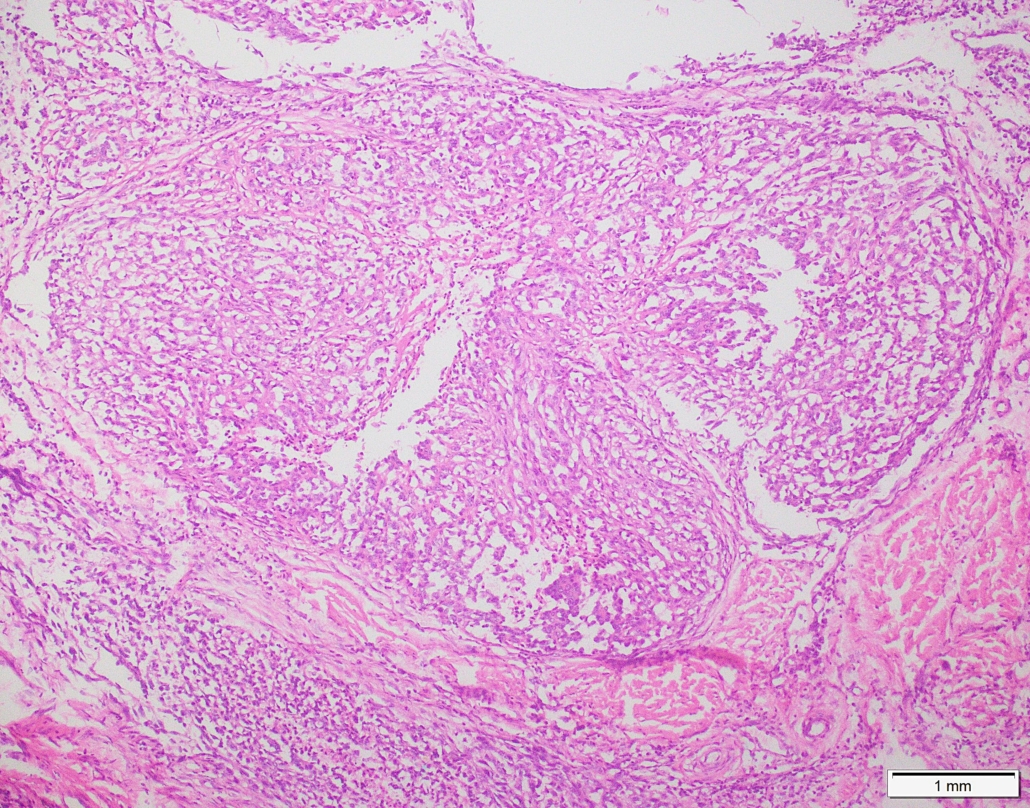
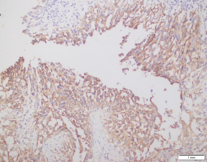
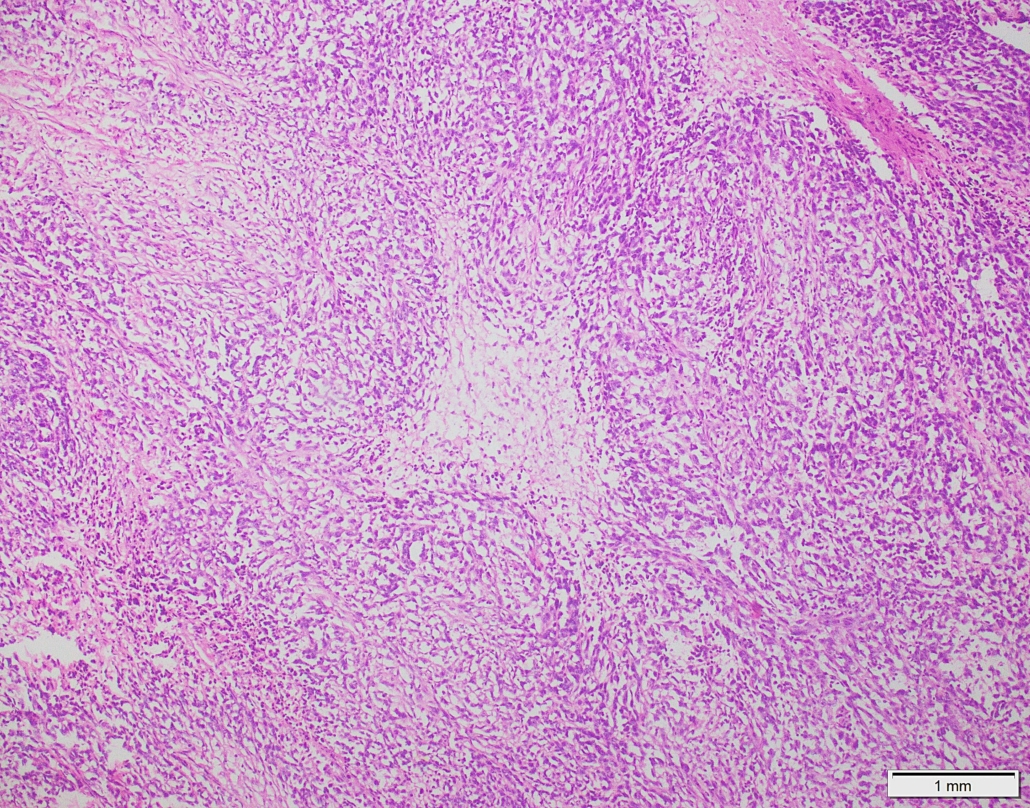
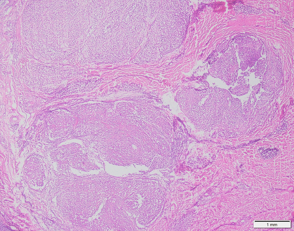
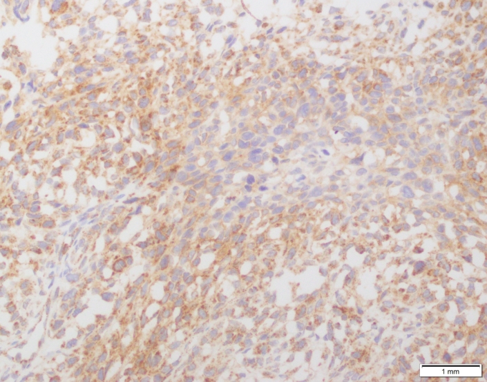
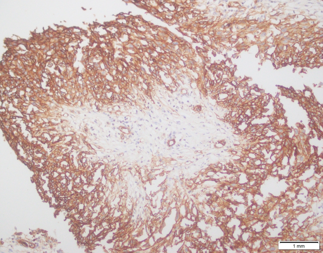
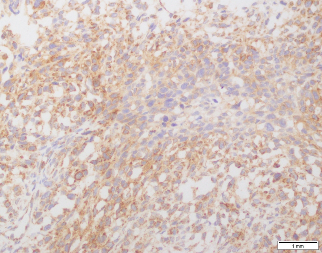
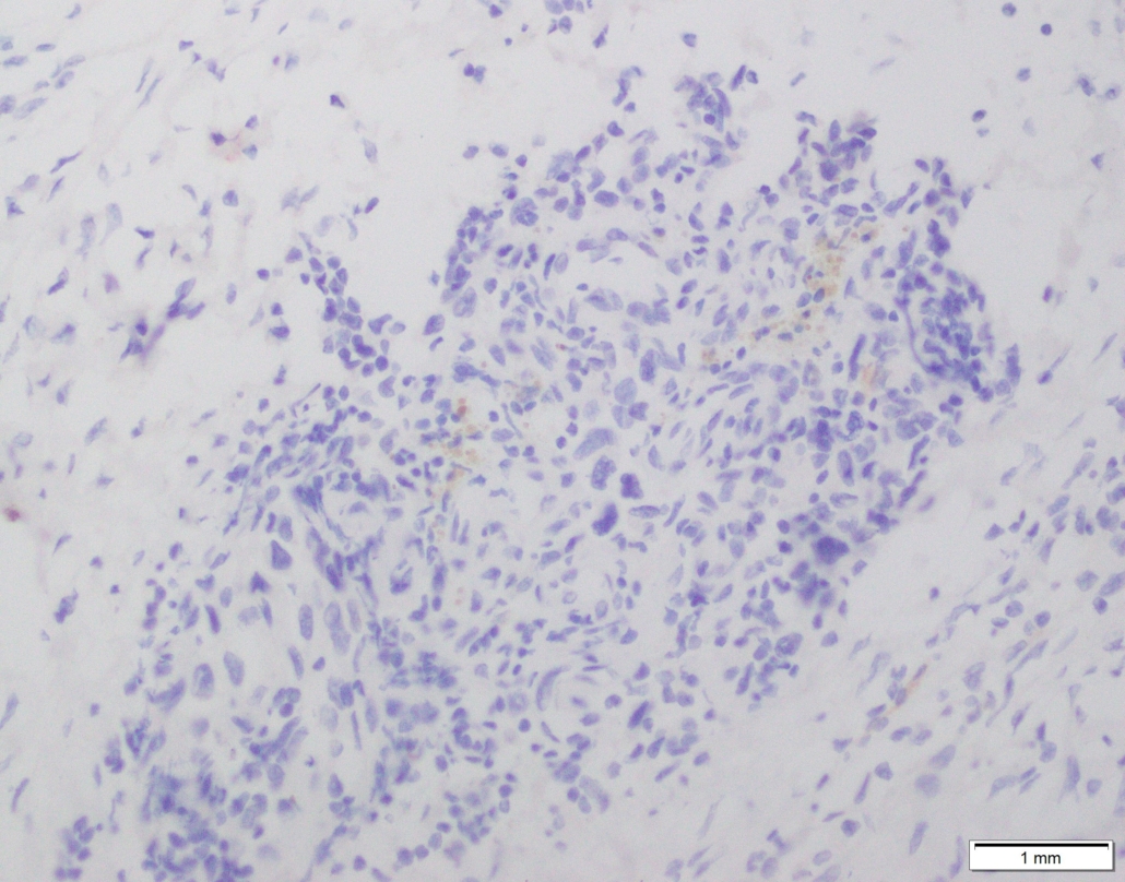
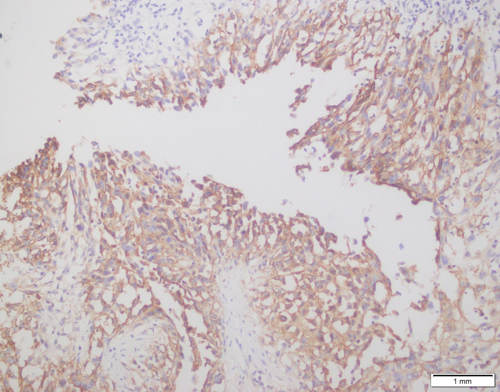
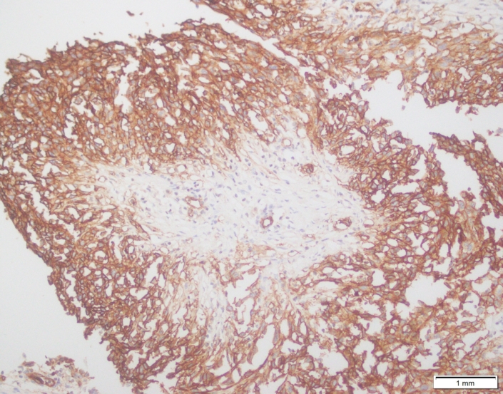
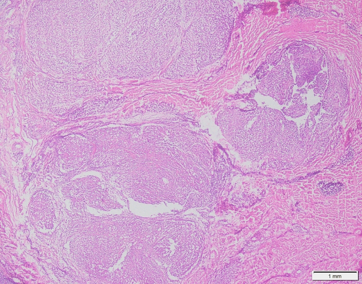
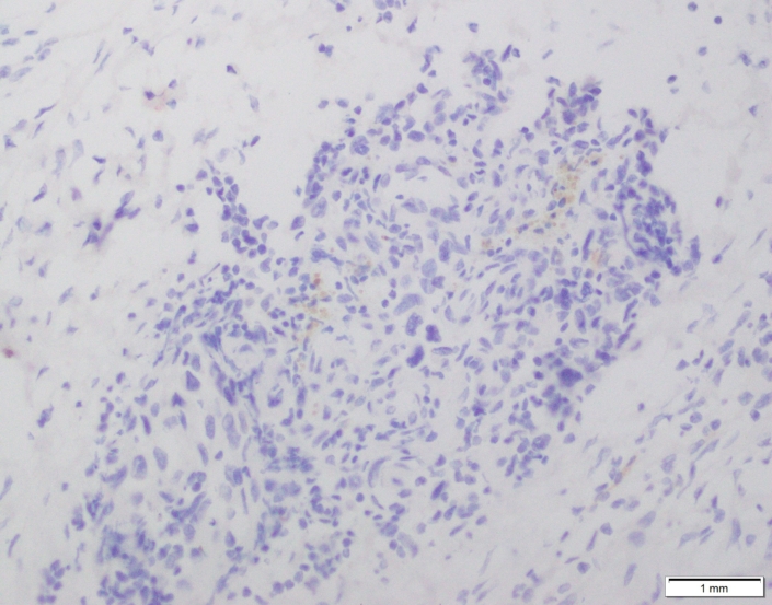
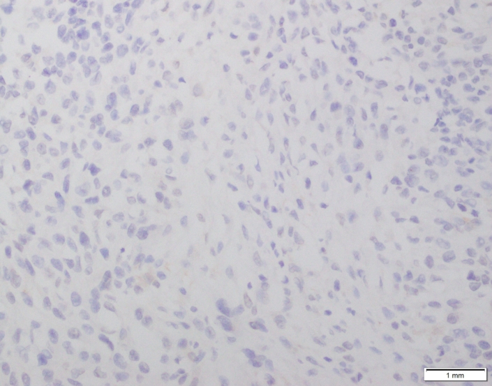
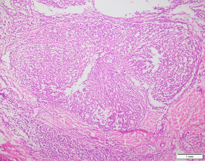
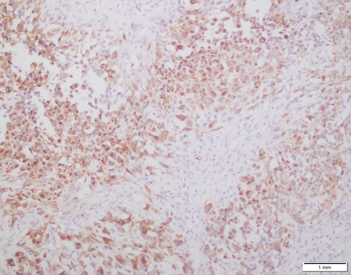
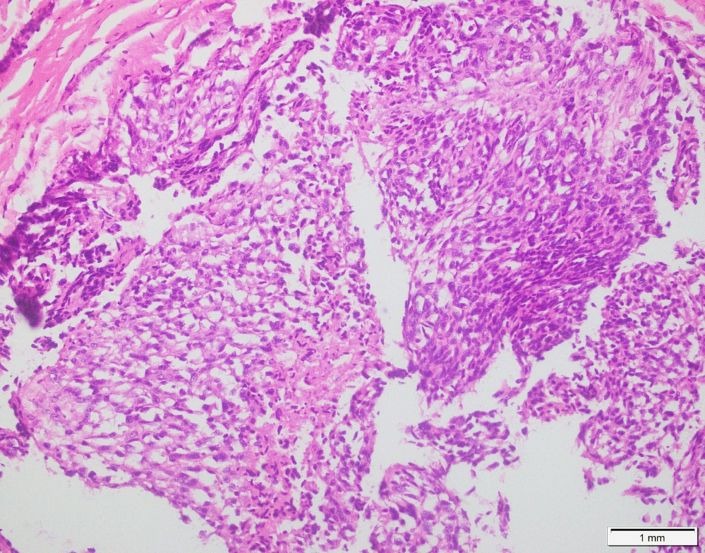
Case 03

Case presented by Dr Shaarif Bashir, FCPS (PAK), Shaukat Khanum Memorial Cancer Hospital and Reserach Centre, Pakistan