Case contributed by: Dr Rabia Ali
FCPS (histopathology)
Assistant Professor/ Consultant Pathologist
Liaquat National Hospital & Medical College Karachi
Case Description
A few details
History:
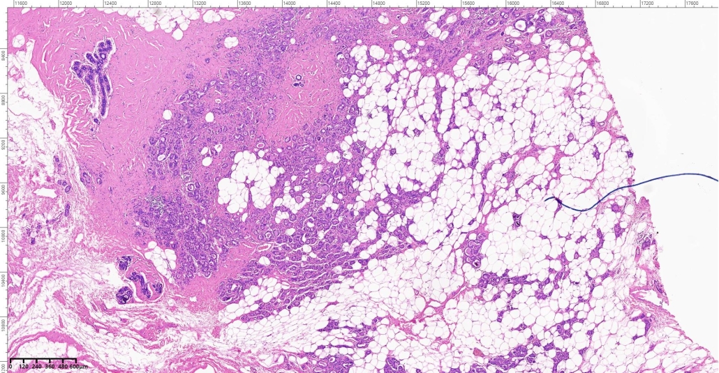
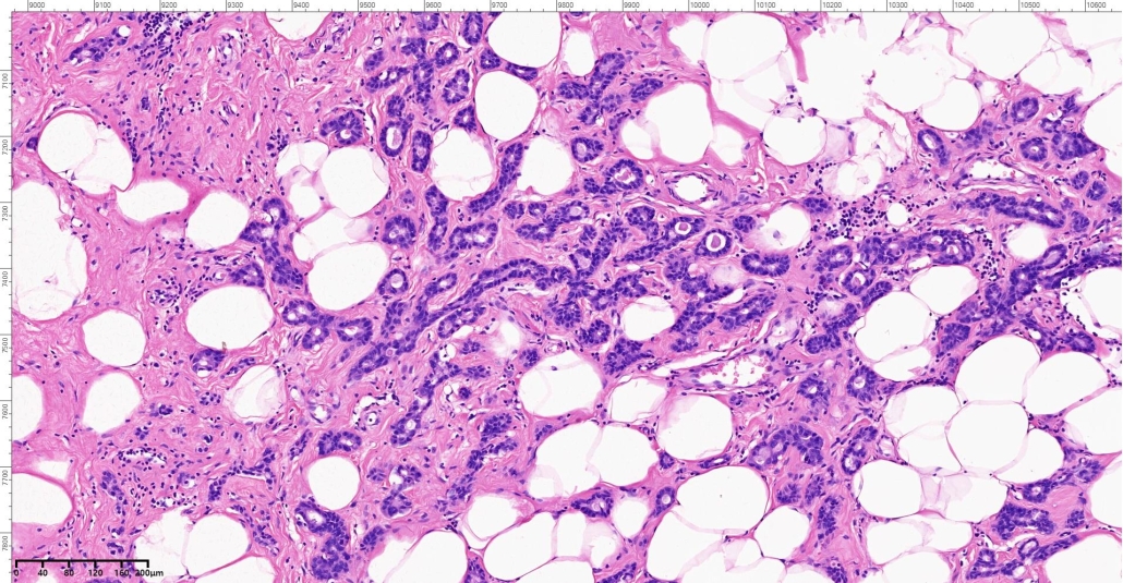
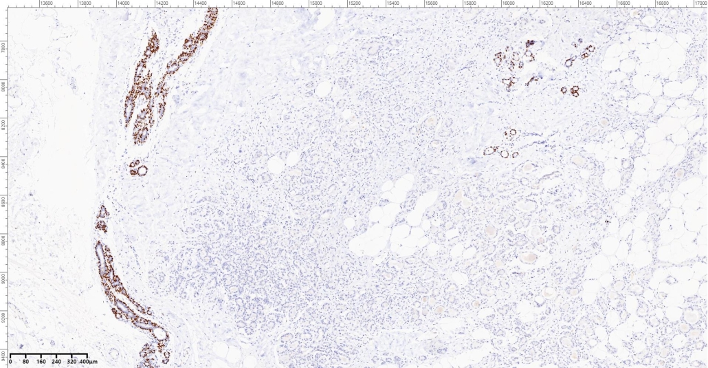
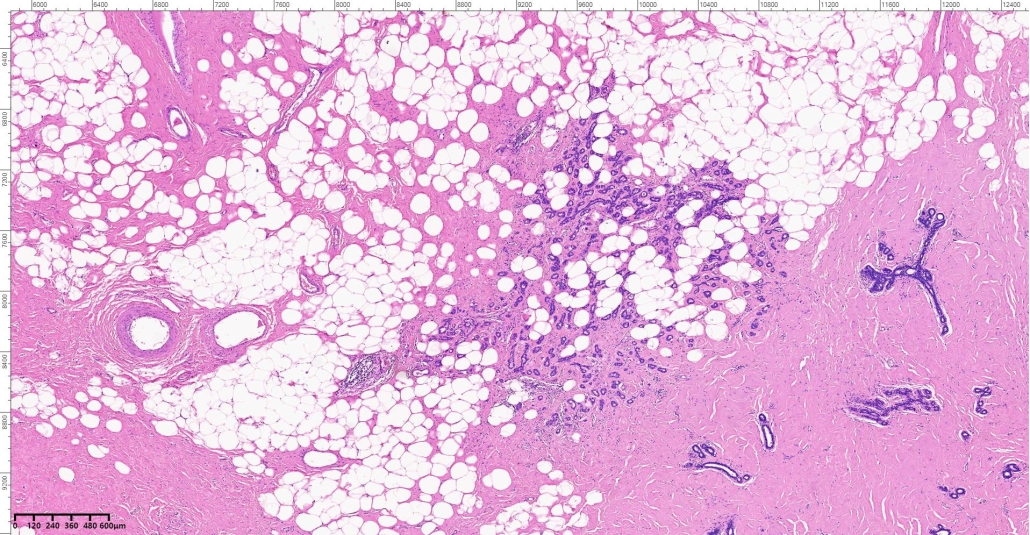
A 46-year-old woman presents with a slowly enlarging, non-tender palpable lump in the upper outer quadrant of the breast. Mammography shows an ill-defined density without calcifications. Local excision is performed.