Case contributed by: Dr Humaira Erum
FCPS Histopathology
Assistant Professor / Consultant
Liaquat National Hospital & Medical College Karachi
Case Description
A few details
History:
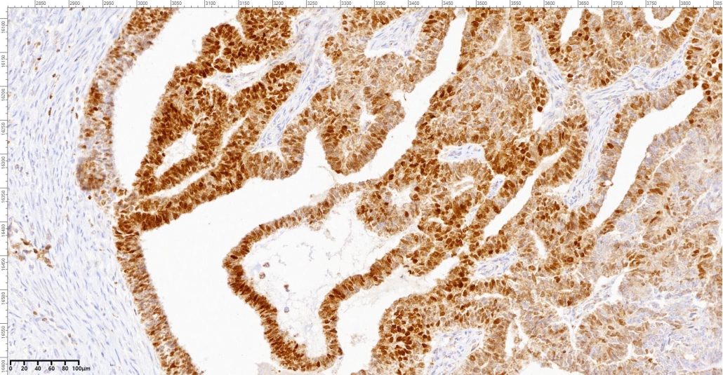
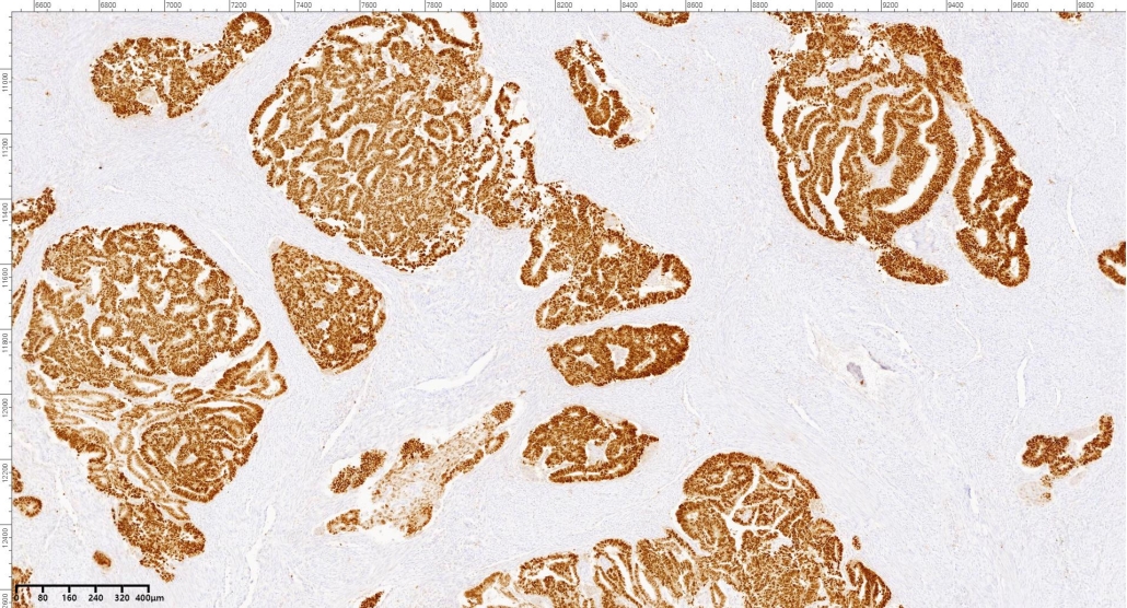
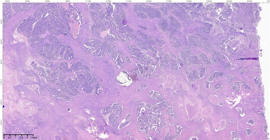
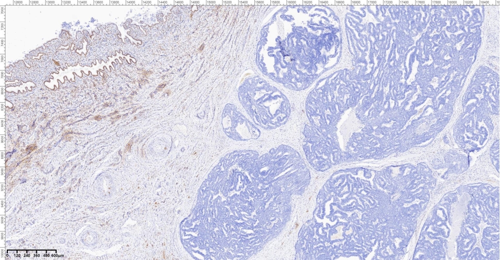
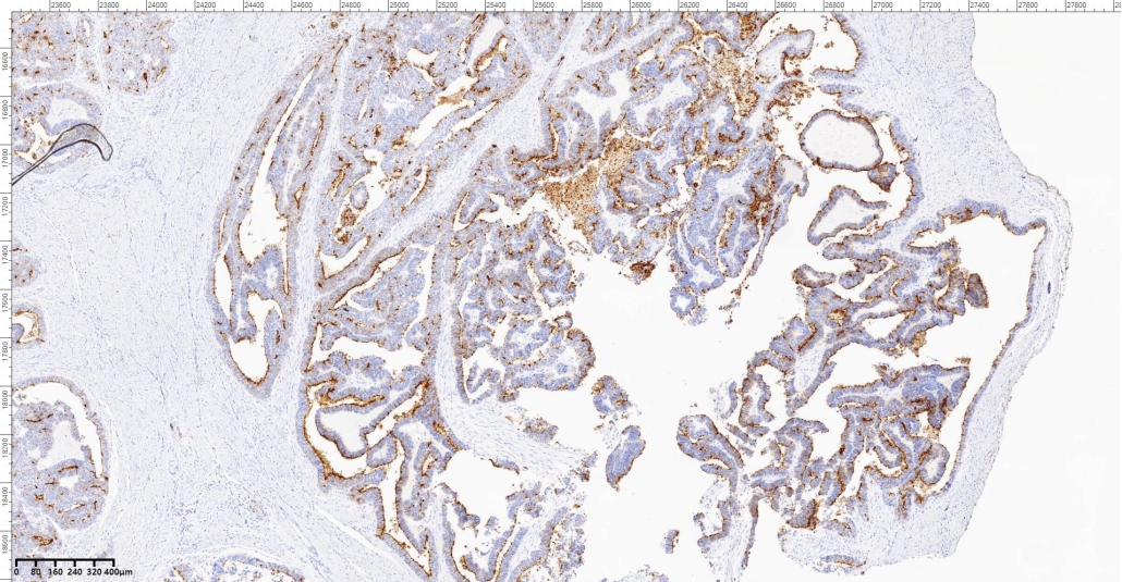
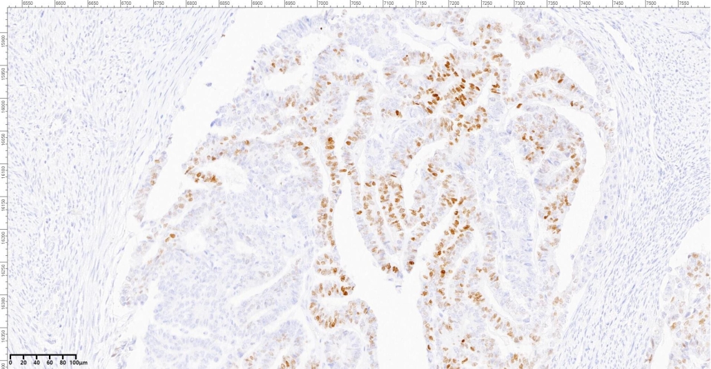
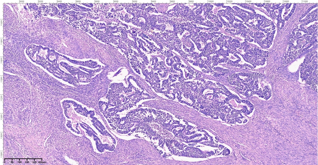
A 65-year- old female presented with vaginal bleeding. On radiological examination there was a diffuse thickening of endometrium. Patient underwent total abdominal hysterectomy and bilateral salpingo ophrectomy. On gross examination there was a grayish white mass involving the uterine cavity.