Case contributed by: Dr Javeria Yousuf FCPS Histopathology Assistant Professor / Consultant Liaquat National Hospital & Medical College Karachi
A few details
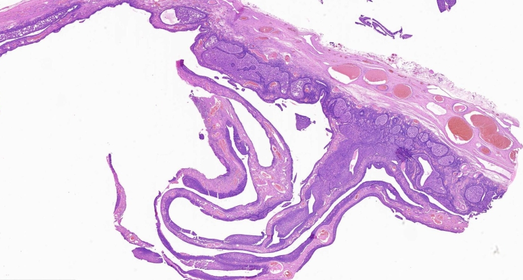
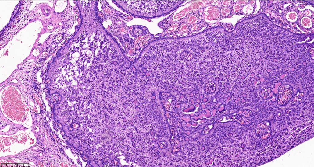
History:
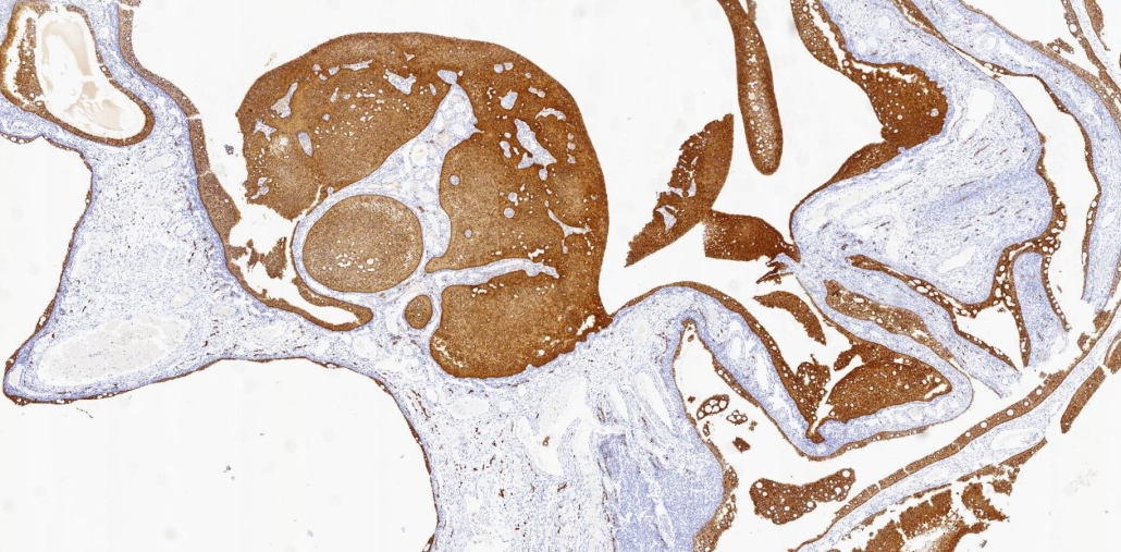
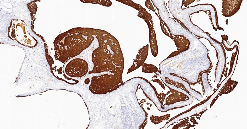
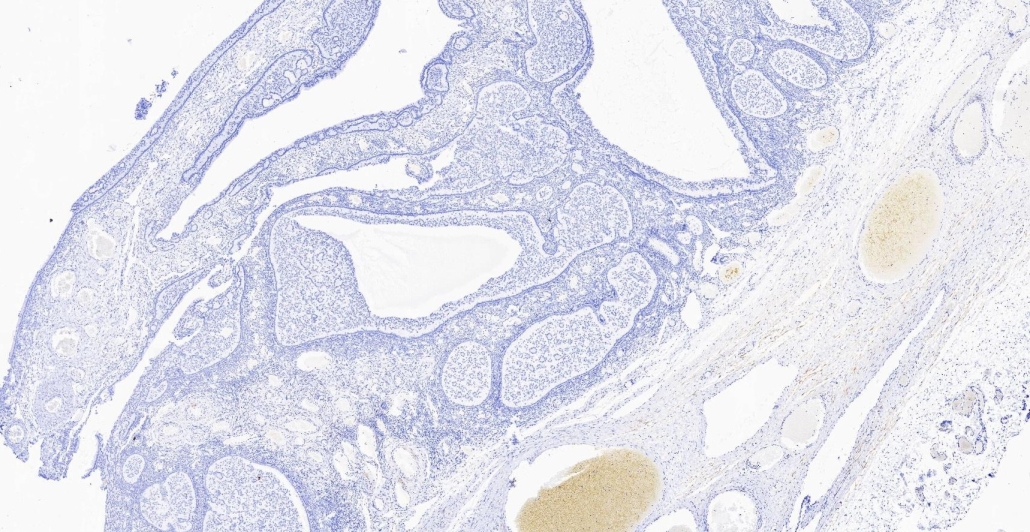
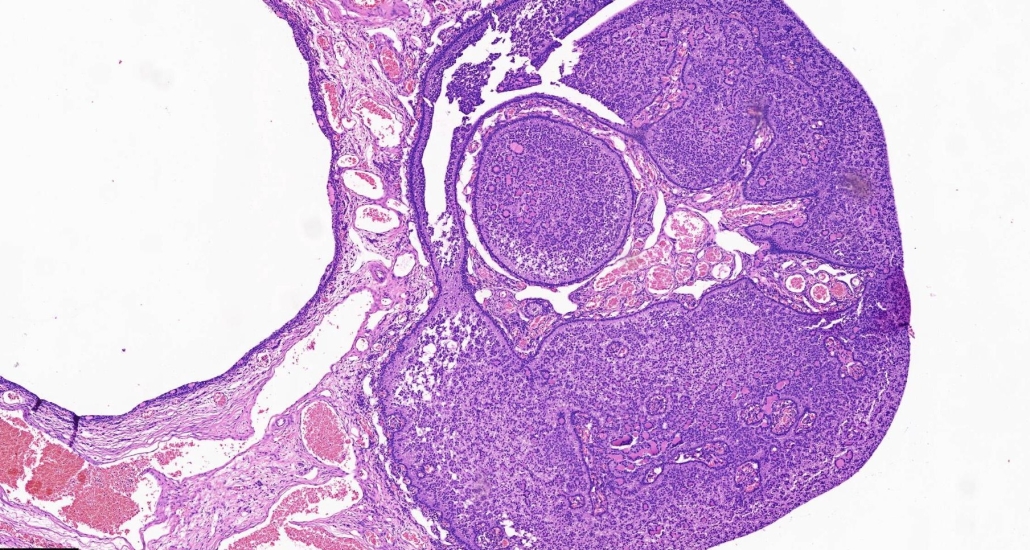
An 18-year-old female with right adnexal mass. Received excision specimen, measuring 12x8x5cm.
Choose correct option: *STK11DICER 1MMR deficiencyPTENFOXL2